
We’re Accepting New Patients!
Looking for a caring and professional dental practice? We’re excited to welcome new patients to our clinic! Whether you’re due for a check-up, need treatment, or are looking to enhance your smile, our friendly team is here to help.
Contact us today to book your first appointment—we look forward to meeting you!
- Home
- Treatments
- Smile makeover
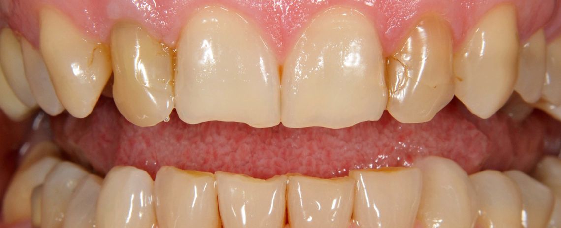
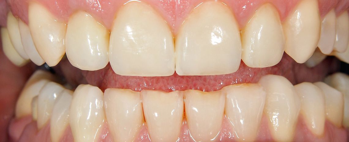
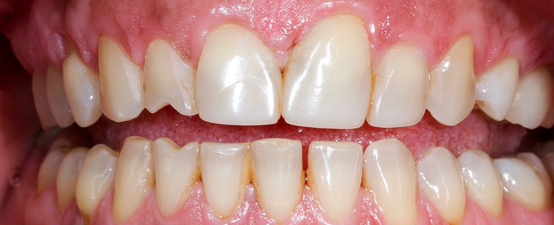
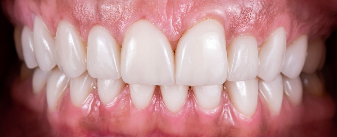
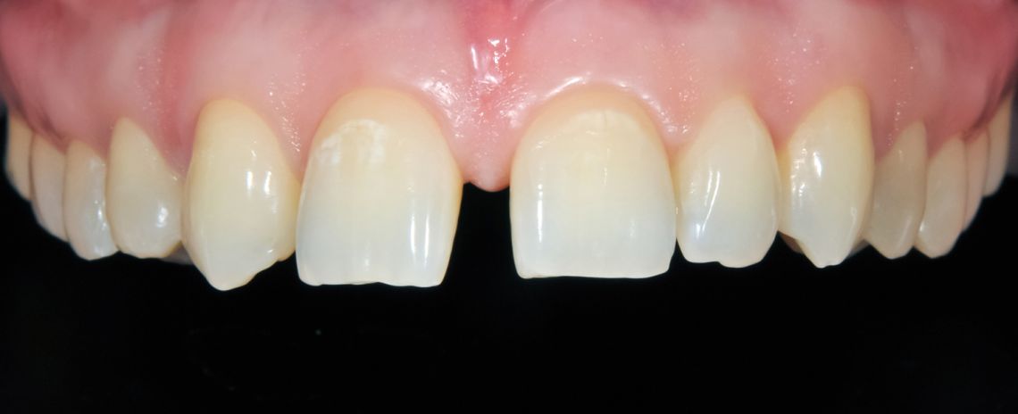
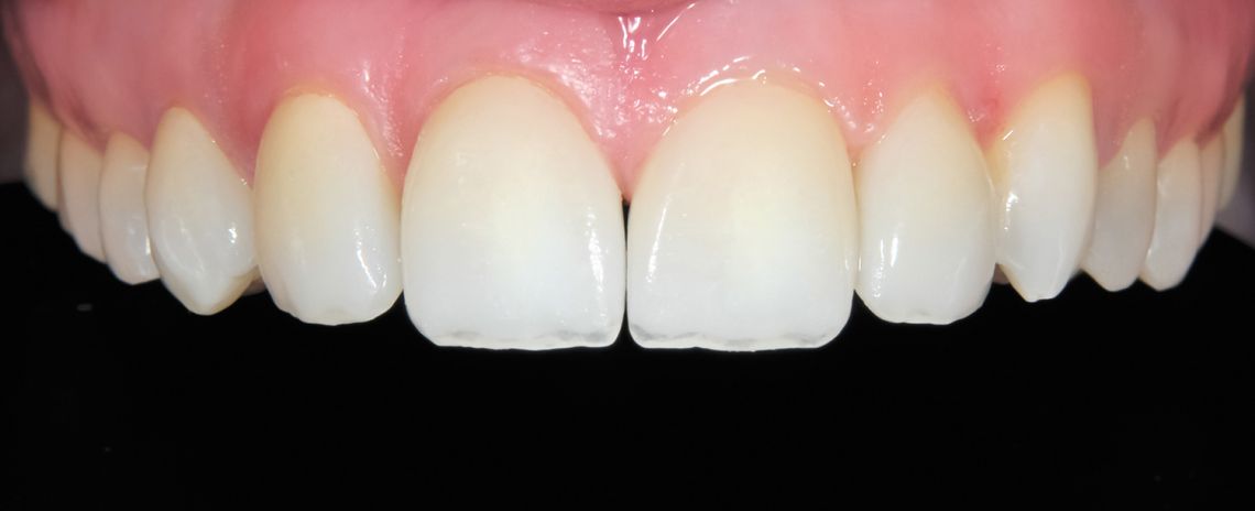
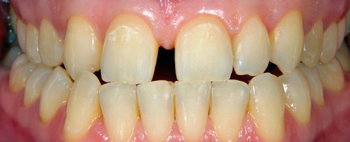
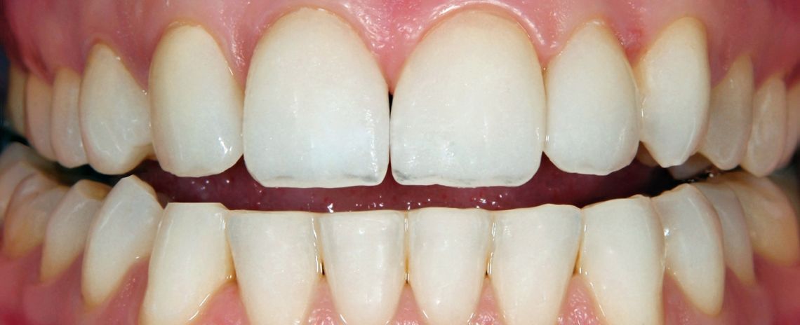
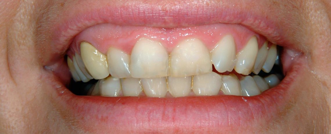
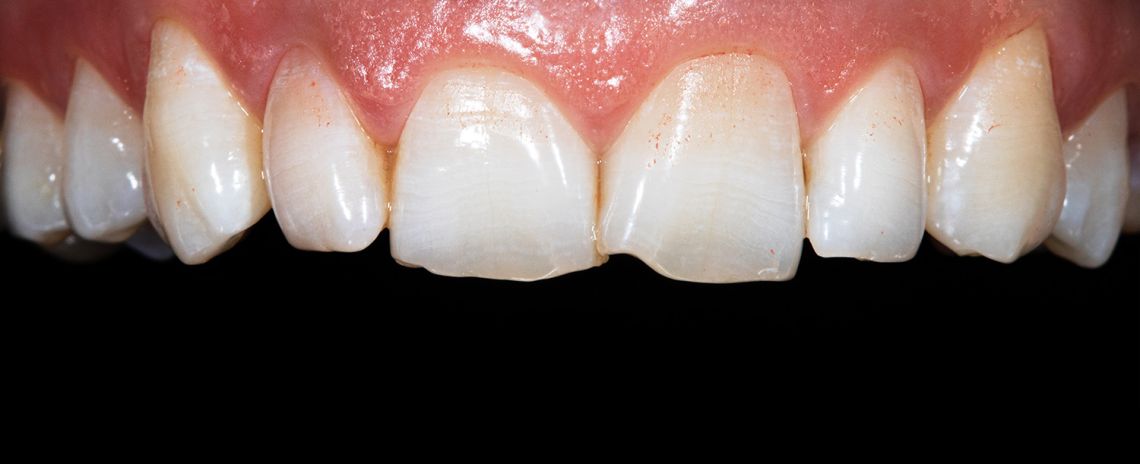
Repair, renew, transform
Give nature a helping hand with our smile makeovers at Cedar Dental Care. We offer a comprehensive range of treatments to help you achieve that winning smile.
A Smile Makeover is a combination of both the skill of the dentist and advanced cosmetic dental treatments in order to create your best possible smile. Whatever your reasons for wanting a smile makeover, there are many different ways in which we can help with:
- Whitening stained teeth
- Straighten crooked teeth
- Repair, replace and improve the appearance of chipped or broken teeth
- Replace missing teeth
- Improve a "gummy" smile
The result of a Smile Makeover should be a smile to be proud of; straighter, whiter and better aligned.
Related pages
Before and after

















People are talking about us
The biggest complement we receive is when our patients refer their friends and family to Cedar Dental Care. In fact, we have built much of our practice on these valued, trusted recommendations over the years. Read our reviews to hear why our patients are recommending us…
Patient reviews
1881 Reviews
7th October 2025
Dr Dundas understands how anxious I am when going to the dentist and always explains everything about my treatment and each step of the treatment as it happens.
7th October 2025
Highly efficient practice, that is very welcoming.
7th October 2025
The orthodontist is patient, kind, professional and brilliant with my son. Lots of information and reassurance given. She is highly reflective and thoughtful in her practise. Very impressed!
7th October 2025
I have always been treated very well by my dentist Anish Patel, he always listens to my needs and talks through everything with great detail, such a kind man I hope he never leaves the practice.
7th October 2025
My dentist is so professional and knowledgeable. She explains things clearly and reassures me. She takes an interest in the whole person, not just the health of their teeth.
5th October 2025
Past experience over years gives me confidence in the professional skill and reliablejudgements of the practitioners. The ethos of the practice is consistently caring and careful. Patients are welcomed warmly and treated with respect. All staff encountered at the practice communicate a respect for these values.
4th October 2025
The whole practice is welcoming ..from the easy hands free entrance doors , the receptionists to the attitude and friendliness the whole of the team.I have always been nervous of dentists …but not here.
4th October 2025
I have been a patient at the surgery for over 40 years and have always received excellent service, a lot of understanding and always had my mind put at rest if I had a problem.
3rd October 2025
Mr Patel was very kind and patient
3rd October 2025
Friendly and long term family dentist.
3rd October 2025
Both Patrick and his nurse showed great compassion to me as September had been a complicated month for me. My check up went well and I was offered a clean of my teeth there and then.Always happy with my treatment at Cedar Dental.
3rd October 2025
Mr Patel explained exactly what was going to happen at the beginning and along the way too. I have just had knee surgery and found the chair uncomfortable. Mr Patels dental nurse Chloe I think was her name brought me a cushion to support my knee which was a god send and made a massive difference as the appointment was an hour long.
3rd October 2025
I have been a patient at Ceder for many many years and have always had reliable and professional treatment.
2nd October 2025
As an emergency appointment I was fitted in on the very day Abby was back from holiday, as ever she sorted them issue in one appointment. Abby always takes time for a personal experience, faultless. As an emergency appt was offered an alternative dentist by the incredible admin team, but declined to wait for Abby, who I trust completely with all my care.
1st October 2025
Fantastic care, from the entire team, clinical and non-clinical. We feel treated as individuals.
1st October 2025
Well explained advice given, prompt appointment. All staff friendly
1st October 2025
Professional, friendly and efficient. All runs like clockwork and all the team are lovely
30th September 2025
Appointment time was perfect as after work in the evening, no waiting to be seen. Many thanks!
30th September 2025
Excellent
29th September 2025
My dentist RAV is always willing to talk and make me feel at ease. His staff are kind, friendly and welcoming.